Categoría: Ciencia
Entradas 717
Nvidia presenta el «chip más potente del mundo»
China comienza a construir el primer centro de datos submarino comercial del mundo
¿El fin de la era del ‘smartphone’? Este nuevo dispositivo busca destronarlo
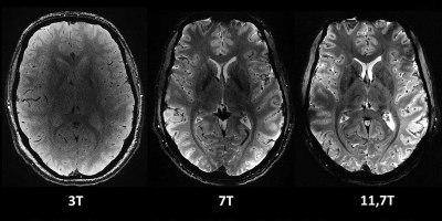
Crean el mapa más detallado del cerebro humano
